
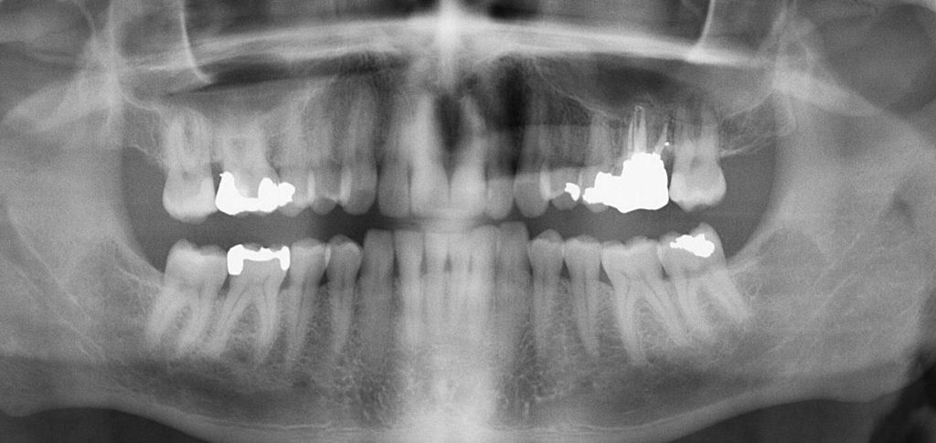
An OPG (Orthopantomogram) is a digital panoramic dental X-ray that provides a complete view of your upper and lower jaws, teeth, jaw joints, and surrounding structures in a single image. At our clinic, we use advanced OPG imaging to accurately assess impacted teeth, wisdom teeth, jaw alignment, infections, cysts, and bone health. This quick, painless, and low-radiation scan helps us diagnose conditions early and create precise treatment plans for braces, Invisalign, implants, and other dental procedures. Our clinic offers advanced OPG scan services, including digital orthopantomogram X-ray, panoramic dental X-ray, full mouth dental scan, and low-radiation dental imaging. We specialize in OPG for braces treatment, Invisalign planning, wisdom tooth assessment, impacted teeth diagnosis, jaw alignment evaluation, TMJ analysis, dental infection detection, cyst screening, and pre-implant assessment. If you are looking for an OPG scan near me, panoramic dental X-ray clinic, orthodontic X-ray services, or accurate dental imaging for treatment planning, our modern diagnostic technology ensures safe, quick, and precise results. We are one stop solution for all your dental problems. Together we make you smile. Consult us now. Contact us at 7259693009. Dentist near me, Best dental clinic in Bangalore, smile dental clinic, Orthodontic center Bangalore, Orthodontic center in BTM Jayanagar HSR, Top 10 dental clinic in Bangalore, Best dental clinic is BTM HSR Jayanagar, Invisalign, Invisalign clear aligners, Invisalign treatment, Invisalign treatment in Bangalore, Braces in Bangalore, Braces in BTM Jayanagar HSR, Invisalign in South of Bangalore.
updated: 11/02/2026

Dental implants are a modern, long-term solution for replacing missing teeth that look, feel, and function like natural teeth. They consist of a biocompatible titanium post that is placed into the jawbone, acting as an artificial tooth root, over which a custom-made crown, bridge, or denture is fixed. Implants help restore chewing efficiency, speech, and confidence while also preventing bone loss and maintaining facial structure. With proper planning, advanced technology, and good oral hygiene, dental implants offer a highly predictable, durable, and aesthetically pleasing option for patients seeking a permanent replacement for missing teeth. Dental implants, dental implant treatment, best dental implants, tooth replacement options, missing teeth solution, permanent tooth replacement, implant dentist near me, dental implant clinic, titanium dental implants, single tooth implant, multiple teeth implants, full mouth dental implants, all-on-4 dental implants, implant-supported dentures, painless dental implants, advanced implant dentistry, affordable dental implants, long-lasting tooth replacement, natural-looking dental implants, smile restoration, bone loss prevention, modern dental implant technology, implant consultation, dental implant cost, and post-implant care are some of the most searched terms related to dental implants and are commonly used by patients looking for a safe, reliable, and permanent solution for missing teeth. We are one stop solution for all your dental problems. Together we make you smile. Consult us now. Contact us at 7259693009. Dentist near me, Best dental clinic in Bangalore, smile dental clinic, Orthodontic center Bangalore, Orthodontic center in BTM Jayanagar HSR, Top 10 dental clinic in Bangalore, Best dental clinic is BTM HSR Jayanagar, Invisalign, Invisalign clear aligners, Invisalign treatment, Invisalign treatment in Bangalore, Braces in Bangalore, Braces in BTM Jayanagar HSR, Invisalign in South of Bangalore.
updated: 05/02/2026

Dental habit breakers are specially designed appliances used to help children stop harmful oral habits such as thumb sucking, tongue thrusting, mouth breathing, and nail biting. These habits, if continued for long periods, can affect jaw growth, tooth alignment, and facial development. Habit breakers work gently and safely to retrain muscle patterns, support normal oral development, and create a healthy foundation for proper dental alignment—often reducing the need for complex orthodontic treatment later in life. Dental habit breakers, habit breaker appliances, and habit-breaking dental appliances are commonly used for dental habit correction and oral habit treatment in children. These appliances help manage thumb sucking treatment for children, tongue thrust habit correction, mouth breathing dental treatment, and nail-biting dental appliances. Pediatric habit breaker appliances play an important role in early orthodontic treatment for children by preventing crooked teeth and reducing dental habits affecting teeth. Parents often search for how to stop thumb sucking habits, the effects of thumb sucking on teeth, and tongue thrusting treatment in dentistry, making dental habit breaker treatment an effective preventive solution for healthy tooth alignment and proper jaw development. We are one stop solution for all your dental problems. Together we make you smile. Consult us now. Contact us at 7259693009. Dentist near me, Best dental clinic in Bangalore, smile dental clinic, Orthodontic center Bangalore, Orthodontic center in BTM Jayanagar HSR, Top 10 dental clinic in Bangalore, Best dental clinic is BTM HSR Jayanagar, Invisalign, Invisalign clear aligners, Invisalign treatment, Invisalign treatment in Bangalore, Braces in Bangalore, Braces in BTM Jayanagar HSR, Invisalign in South of Bangalore.
updated: 21/01/2026
Embark on your personalized smile makeover journey, supported by our expert guidance at every turn. Witness the gradual transformation of your smile and join us in celebrating each milestone with top-tier Invisalign treatments available in Bangalore. Our commitment is to walk alongside you throughout this unique journey towards achieving your ideal smile.
Explore our featured transformations, where we highlight some of the most inspiring Invisalign journeys. Witness the amazing results achieved by our patients through their commitment to the Invisalign process. See how these transformations have positively impacted their lives, boosting their confidence and smiles.
Explore our featured transformations, where we highlight some of the most inspiring Invisalign journeys. Witness the amazing results achieved by our patients through their commitment to the Invisalign process. See how these transformations have positively impacted their lives, boosting their confidence and smiles.
#12, 1st Floor, Outer Ring Rd, BTM II Stage,
Bengaluru,
Karnataka
560076
© 2025 Drbraces. All rights reserved.
Developed & Secured By
Razz Security
.